(310) 819-4222
1890 W Redondo Beach Blvd, Gardena, CA 90247
Hablamos Español
Home
Services
Metal Braces
Invisalign
Ⓡ
Clear Braces
Retainers
About Dr Hamid
New Patients
Staff
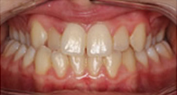
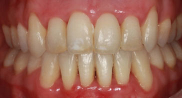
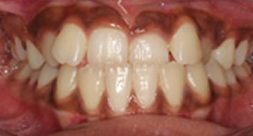
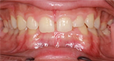
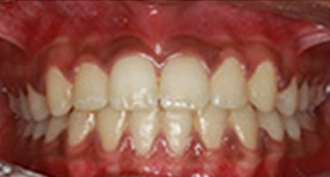
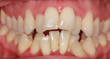
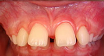
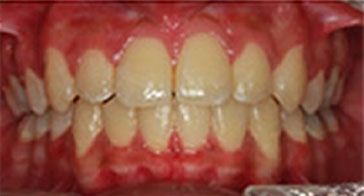
Patient Gallery
Blog
Contact Us
Patient Gallery